Chapter 7 - Transthoracic Echocardiography: Image Acquisition
Case 7-1. Parasternal Long-axis View
Video 7-1A. This video demonstrates the importance of performing the initial view with a depth setting that allows visualization of structures posterior to the heart. In this case, there is a pleural effusion with atelectatic lung floating within it. This would be missed if the depth setting were set initially to place the heart in central screen position.
Video 7-1B. Depth setting adjusted to place the heart in central screen position. There is severe reduction of left ventricular (LV) function with a segmental wall abnormality involving the anterior septum. The septum is thin and the LV cavity is dilated suggesting chronic LV dysfunction related to ischemic injury. Diastolic excursion of the anterior mitral valve (MV) is reduced consistent with reduced LV function. Chamber size and wall thickness would require formal measurement with M-mode or direct caliper measurement.
Video 7-1C1. Color Doppler interrogation of the mitral valve with what is likely moderate mitral regurgitation (MR). The examiner is required to enlarge the color grid to cover the entire left atrium in order to give an more accurate qualitative estimate of the severity of the MR. The cause of the MR is not evident by morphological pattern, while the segmental wall abnormality suggests the possibility of ischemic origin.
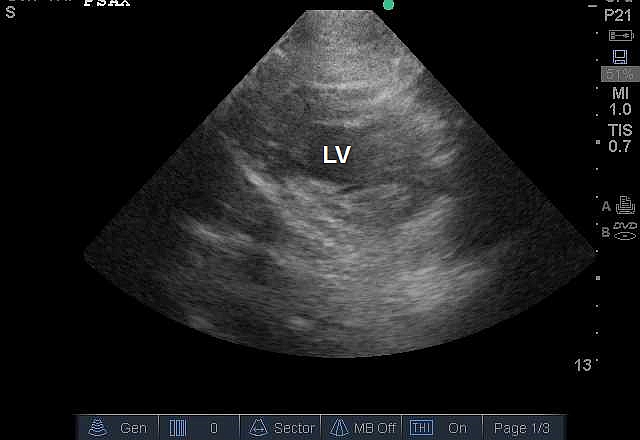
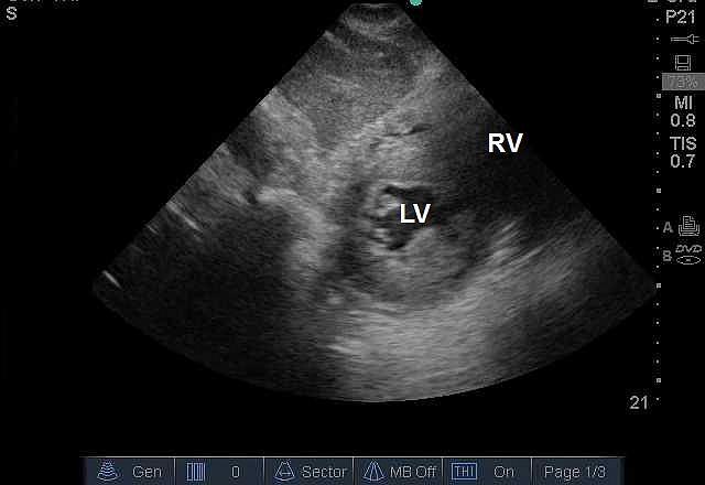
Case 7-2. Parasternal Short-axis View at the Midventricular Level
Case 7-3. Apical Four-chamber View
Case 7-4. Subcostal Long-axis View
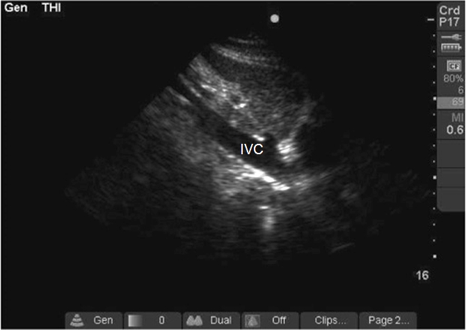
Case 7-5. Inferior Vena Cava Long-axis View
Case 7-6. Right Ventricular Inflow View
Case 7-7. Parasternal Short-axis View at Aortic Valve Level
Case 7-8. Parasternal Short-axis View at Mitral Valve Level
Case 7-9. Parasternal Short-axis View at the Apical Level
Case 7-10. Apical Five-Chamber View
Case 7-12. Apical Three-Chamber View
Case 7-13. Subcostal Short-axis View at Midventricular Level
Case 7-14. Subcostal Main Pulmonary Artery View
Video 7-1C2. Color Doppler interrogation of the aortic valve.
Case 7-2. Parasternal Short-axis View at the Midventricular Level

Video 7-2A. Left ventricular (LV) function is normal. The right ventricle is normal in size and there is no septal dyskinesia.
Video 7-2B. Normal LV function but with increased LV wall thickness. There is also a circumferential pericardial effusion. Strictly speaking, ventricular hypertrophy requires a formal measurement of ventricular muscle mass that requires a series of specific measurements that are not within the purview of basic critical care echocardiography. The intensivist should report increased wall thickness consistent with ventricular hypertrophy, and consider alternative causes for increased wall thickness. In this case, the patient had advanced amyloidosis.
Video 7-2C Severe LV dysfunction with segmental wall abnormality. The anterior mid septum is akinetic while the inferior and lateral walls are contracting although to reduced extent. The anterior and anterolateral walls are not well visualized due to a rib shadow. Adequate image quality in all views is frequently not possible in the critically ill. The subcostal short-axis view would be an alternative.
Video 7-2D. Severe LV dysfunction with a segmental wall pattern. The septal function is very reduced as is the anterior wall, suggesting a left anterior wall infarction, while the inferior, infero lateral, and anterolateral segments are reduced in function but to lesser extent. There is a pleural effusion with atelectatic lung within it. At the end of the clip, the tomographic plane changes to the mitral level. This resulted from respiratory translation movement of the heart, which is a common artifact of echocardiography performed in the patient with respiratory distress.
Case 7-3. Apical Four-chamber View

Video 7-3A. While the septum is centrally orientated, the left ventricle is foreshortened. This was the best view that could obtained in this obese patient on ventilatory support, continuous hemofiltration, and high-dose pressors. The intensivist faces major obstacles in obtaining the apical views related to patient habitus, supine position, respiratory translational artifact, and ICU equipment that blocks good scanning position. In this case, there is moderate right ventricular (RV) enlargement with normal RV free wall function. At times, the intra-atrial septum bows into the left atrium, suggesting elevation of right atrial pressures. The subcostal long-axis view would be obligatory alternative view to examine RV wall thickness and septal kinetics.
Video 7-3B. Mild mitral regurgitation (MR) by color Doppler, but with a wall jet pattern. A MR wall jet is known to result in an underestimate of the severity of MR. This mandates examination of multiple views and, if indicated, advanced methods for determining the severity of the MR. In this case, the wall jet pattern was seen in multiple views, but the MR was determined to be moderate in severity by vena contracta measurement.
Video 7-3C. Mild to moderate tricuspid regurgitation. The jet is well oriented for measurement of the TR velocity. Other views showed a similar degree of TR.
Case 7-4. Subcostal Long-axis View

Video 7-4A. The right ventricle (RV) and right atrium (RA) are enlarged. The RV free wall is thickened, suggesting that the RV has been under chronic load. This would require M-mode or caliper based measurement, if there was need for quantitative purposes. The intra-atrial septum is bowed into the left atrium, suggesting elevation of RA pressure. This is supported by the presence of a dilated coronary sinus. The left ventricular function is normal; although at a qualitative level, it appears to be compressed by the RV.
Video 7-4B. Color Doppler grid positioned over the intra-atrial septum, with the purpose of checking for a patent foramen ovale in this patient with severe hypoxemic respiratory failure. There was no color Doppler evidence of right to left shunt. This was confirmed with agitated saline contrast injection. At times, the LV seems to have end-systolic effacement. This is an artifact of respiratory translational artifact that is a common feature of critical care echocardiography performed on the acutely dyspneic patient.
Case 7-5. Inferior Vena Cava Long-axis View

Video 7-5A. Small diameter inferior vena cava (IVC) in longitudinal axis.
Video 7-5B. Large IVC without respiratory variation.
Video 7-5C. Problem with the measurement that occurs in patients with translational artifact due to movement of the IVC in and out of the tomographic plane. If the examiner is trying to reliably measure a 12% variation of IVC size as a determinant of preload sensitivity, true respiratory variation may be difficult to distinguish from translational artifact. Examination of variation in superior vena cava size with transesophageal echocardiography is an effective alternative. Respirophasic diameter variation of the IVC has utility in determination of preload sensitivity, if the patient is on mechanical ventilatory support without spontaneous respiratory effort. The diameter alone may have some value in this determination, but only at the extremes of size.
Case 7-6. Right Ventricular Inflow View

Video 7-6A. The anterior tricuspid leaflet is morphologically normal, but the septal leaflet is obscured by an echogenic focus. It does not have the appearance of a vegetation or catheter, but instead is an artifact. Artifacts are common and represent a challenge to the examiner both at basic and advanced training level. The key observation here is that the part of the artifact is not moving in synchrony with surrounding structures and has no other reasonable explanation. In addition, it was not visible on any other view.
Video 7-6B. Color Doppler interrogation of the tricuspid valve with what is mild to moderate tricuspid regurgitation (TR), although other views will need to be examined. The directionality of the color jet is ideal for measurement of the trans-valvular velocity gradient, which would allow an estimate of pulmonary artery systolic pressure. The TR jet velocity would need to be measured from other views as well.
Case 7-7. Parasternal Short-axis View at Aortic Valve Level

Video 7-7A. The aortic valve (AV), the tricuspid valve (TV), and the pulmonic valve (PV) in the parasternal short-axis AV view. The AV has three leaflets, which are morphologically normal.
Video 7-7B. This video shows no evidence of AV regurgitation with color Doppler.
Video 7-7C. Mild tricuspid regurgitation (TR) with color Doppler, but the jet appears truncated. The TR velocity gradient would be measured at this site as matter of routine, but several other views would be required before any conclusion could be made concerning the severity of the TR or the velocity gradient.
Video 7-7D. Mild pulmonic regurgitation with a regurgitant jet that is well positioned for Doppler interrogation, in order to estimate pulmonary artery diastolic pressure.
Video 7-7E. The main pulmonary artery (MPA). It is difficult to obtain this view in adult patients, but if obtained, it can be used for Doppler interrogation of MPA outflow, to measure PA diameter (enlarged in this case), and occasionally to identify pulmonary emboli.
Case 7-8. Parasternal Short-axis View at Mitral Valve Level

Video 7-8A. The main utility of this study is to assess segmental wall function of the basal segments, which are normal in this case. MV function may be observed as well, although other views may be more helpful.
Video 7-8B. Severely reduced left ventricular (LV) function without segmental wall abnormality (acknowledging the poor basal anterior and basal anterolateral wall visualization). In conjunction with the reduced LV function, there is reduced opening of the MV.
Video 7-8C. This video demonstrates a less common cause of reduced MV opening related to mitral stenosis. Planimetry of the MV opening is one method of measuring the severity of MS, although it requires attention to gain, angle, and cross section; Doppler based methods should also be utilized.
Case 7-9. Parasternal Short-axis View at the Apical Level

Video 7-9. The left ventricular function is normal. There is significant respiratory translational artifact, such that the heart moves between the apical and midventricular tomographic planes in respirophasic pattern. At the apical level, there are four wall segments instead of the six that are assigned at the mid and basal levels. The main utility of this view is to examine segmental wall function.
Case 7-10. Apical Five-Chamber View

Video 7-10A. View with the Doppler sample volume positioned to measure stroke volume. The actual measurement will be made with pulsed wave Doppler, rather than continuous wave Doppler. An alternative method is to use the apical three-chamber view.
Video 7-10B. AP5 view with mild aortic regurgitation (AR). This view may be used to make Doppler measurements to estimate the severity of AR and with AR, to estimate left ventricular end diastolic pressure.
Case 7-11. Apical Two-Chamber View
Video 7-11A. The main utility of this view is to assess segmental wall function, but it can also be used to make Doppler measurements of mitral function and to examine the morphology of the mitral valve. As with other apical views, it is often difficult to obtain an on axis image of this view in the critically ill patient.
Video 7-11B. Same view as (A) with color Doppler.
Case 7-12. Apical Three-Chamber View

Video 7-12A. The main utility of this view is to assess segmental wall function, but it can also be used to make Doppler measurements of mitral and aortic valve function and to examine the morphology of the both valves. It is an alternative to the apical five-chamber view for measurement of stroke volume. Overall left ventricular function is normal. There is possibility of apical hypokinesis, but near field resolution is suboptimal. Other views showed normal apical function. As with other apical views, it is often difficult to obtain an on axis image of this view in the critically ill patient.
Video 7-12B. Shows the same image as (A) with color Doppler.
Case 7-13. Subcostal Short-axis View at Midventricular Level

Video 7-13. Left ventricular (LV) function is normal. The LV wall thickness is abnormal consistent with hypertrophy. The right ventricular free wall is also of abnormal thickness. Standard measurements by M-mode of caliper technique are required for a quantitative statement. The SC short-axis view gives similar information as the parasternal short-axis midventricular view, and is often the only such view that is available in the critically ill patient on ventilatory support.
Case 7-14. Subcostal Main Pulmonary Artery View

Video 7-14. The color Doppler grid is placed over the tricuspid valve where there is a truncated color Doppler tricuspid regurgitation (TR) jet. Other views are indicated in order to grade the severity of the TR and to measure the TR jet velocity. Visualization of the MPA allows Doppler interrogation of the MPA, measurement of MPA diameter, and occasional identification of pulmonary emboli.